Paralysed dog walks again with pioneering 3D-printed spine
A beloved family dog has been given the ability to walk again after a leading team of vets gave him a pioneering new 3D-printed spine
A beloved family dog has been given the ability to walk again after a leading team of vets gave him a pioneering new 3D-printed spine.
Arthur, a six month old Cockapoo, had been paralysed for two days after all of his limbs suddenly became weak, meaning he collapsed and could not walk.
Owner Natalie Jones, who lives in Llanfairpwllgwyngyll in Wales immediately took him to her local general practice vets where she was told that Arthur's prognosis was poor.
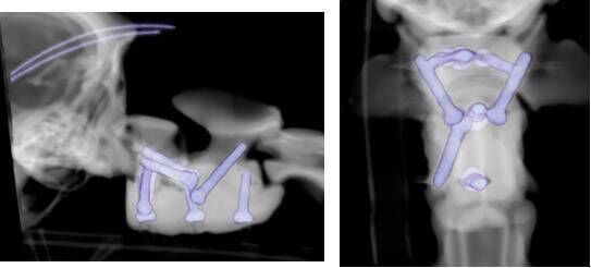
It was recommended that Arthur be taken to Chestergates Veterinary Hospital in Chester. Here one of the Britain's leading teams of veterinary neurologists conducted MRI scans and X-rays of his spine to see if they could identify the problem.
They established that a section of Arthur's spine was not properly connected together which had been caused by instability of his first and second cervical vertebrae. This was compressing his spinal cord severely, causing loss of function in all four of his limbs.

To treat Arthur, a team of specialist veterinary surgeons at Chestergates joined forces with Fusion Implants in Liverpool to create bespoke 3D-printed spinal screws and special surgical cement to help stabilise his spine.
Whilst waiting for the surgery Arthur was hospitalised and his body was put into a brace.
One week later, Arthur was taken into surgery. Here a team specialist veterinary surgeons and nurses undertook a precise four-hour operation to carefully place the new 3D-printed section into Arthur's spine.
Miraculously, only three weeks after his successful surgery, Arthur was able to start walking again unassisted. Over two months he continued to recover smoothly, undergoing a full course of physiotherapy. Three months on, Arthur now has limb function and is walking slowly.
Leading veterinary surgeon Rocio Orlandi, who led the team, said: "Arthur's condition was very serious, as these bony abnormalities could potentially be life-threatening, due to how close they are to the brainstem. The use of 3D-printed technology enhances the accuracy of this complicated surgery, which was successful, significantly improving Arthur's prognosis."

Owner Natalie Jones said: "When Arthur collapsed I panicked. Less than six months prior, we'd lost Rupert our beautiful two-year-old cockapoo to a sudden short illness.
"On arrival at Chestergates we were seen in minutes. The vets were so calm which was a huge reassurance. We had no option but for Arthur to have surgery. I told him how much I loved him and that I needed him to be strong — but in my head I said goodbye as I did not know if he'd come home. Five hours later, I received the call he'd made it through. He was discharged three days later, tail wagging. We were so pleased, but having such a poorly dog was scary. He had a brace from stomach to head, was unable to use his limbs and needed 24-hour care."
"It's been a long road but over the last week, he's starting to play and become himself. It's the best feeling to watch him being a puppy again! We want to thank Chestergates — and Fusion Implants - for everything they have done. They have given our beautiful boy a second chance and that means all the world."
"Arthur made a sudden yelp and I went to check on him. He was lying on the floor against the sofa, not moving and panting heavily. I panicked and rushed him to our local vets who suspected a spinal injury.
We were given an appointment at Chestergates the following week. During this time, Arthur regained strength and balance. But on the morning of his appointment, he screeched in pain and started shaking severely on the floor. As I picked him up his body was completely rigid. So we put him in the car and drove him straight there.
When we arrived we were seen in minutes. Arthur was examined thoroughly. The vets were so calm which was a reassurance as we were extremely upset and anxious. Less than six months prior, we had lost our two-year-old beautiful cockapoo Rupert to a sudden short illness.
The specialist vets explained Arthur's condition. We felt we had no option but for Arthur to have surgery. While the implant was being made, Arthur came home with a brace from stomach to head. He was unable to use his limbs so we gave him 24-hour care. He became depressed and it was heart-breaking to see a once bouncy puppy become so lethargic.
The surgery took place days later. I was a nervous wreck and so emotional. On that morning I told him how much I loved him, that I needed him to be strong, and to come home to us. But in my head I also goodbye, as I did not know whether he'd come home.
Five hours later, I received the call he had made it through, though the next 48 hours were critical. However Arthur continued to recover well and there were signs his limbs were showing some strength.
He was discharged three days later, tail wagging. We were told this was a good sign for being able to walk again. Meeting Rocio and the team was very emotional. The realisation they did everything to help save Arthur was overwhelming.
We were so pleased to have Arthur home, but having such a poorly dog was scary. He was in a lot of pain and needed us to do everything. But towards the second week, Arthur was showing signs of wanting to stand up solo and by the third, he began to walk unaided, still with balance issues.
Arthur is now having hydrotherapy and does daily physio. His implant still affects his oesophagus, so we keep him on a bland blended diet and give him medication. But over the last week, we've noticed him starting to play and become more himself; chasing flies, running away with toilet paper, and playing with toys. It's the best feeling watching him being a puppy again!
We want to thank Chestergates — and Fusion Implants — for everything they have done. We've been treated so kindly and cared for by all — even when I would call at 3am to check in! Every visit, everyone knows Arthur and he gets so much care, love and attention. They have given us our beautiful boy a second chance and that means the world. Arthur has a second family within the Chestergates team, as do we!"
